Skip to main content



L'échographie

15 à 30 minutes

approximatif



-

Le déroulement

Un examen d'une durée de 10 à 15 minutes dans la majorité des cas

Vous serez allongé dans une pièce sombre pour faciliter la lecture des images.
Un gel sera appliqué sur la peau pour permettre la transmission des ultrasons.
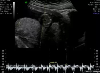
L’examen fournit des images en mouvement, contrôlées sur un écran.

Qu'est ce que c'est

DES ULTRASONS, TOUT SIMPLEMENT...

L’échographie utilise des ultrasons émis par une sonde et transmis dans les tissus qui les réfléchissent pour former une image de la région examinée. Elle peut être couplée à une sorte de radar pour l’étude des vaisseaux (doppler).


Où passer votre examen ?

Centre d'Imagerie Clouange


Place Chanoine Colin
57185 CLOUANGE

Centre d'Imagerie Talange


79 Rue de Metz
57525 TALANGE

Centre d'Imagerie République


4 Rue Châtillon
57000 Metz